As restaurasções em amálgama são realmente tóxicas e, por isso, devem ser trocadas?
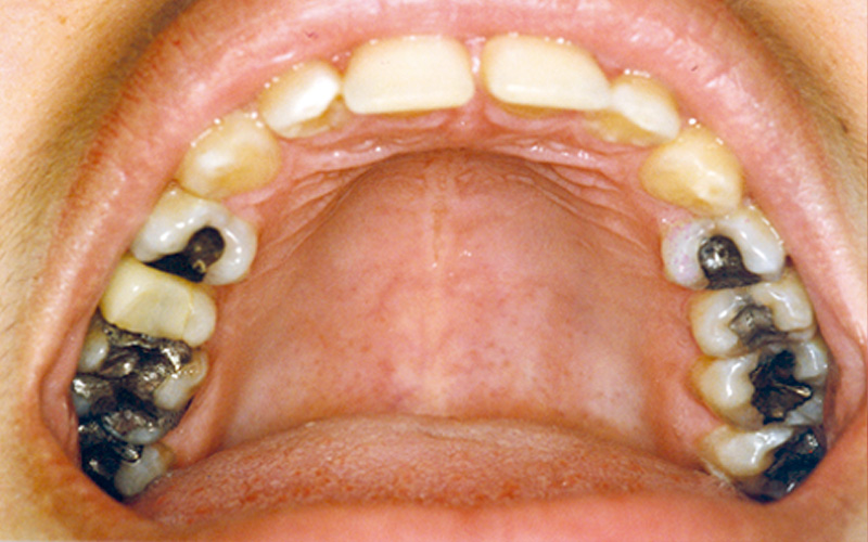
Amálgama, palavra que significa 'mistura' na Odontologia, é o material metálico escuro utilizado para restaurar os dentes do fundo, composto de mais ou menos 70% de prata, cobre, estanho e outros, misturado com mercúrio que, puro, altamente tóxico e volátil.
No passado, quando os dentistas não usavam nrm óculos ou máscara de proteção, era grande o número de profissionais contaminados pelo mercúrio. Imaginem que, há mais ou menos 20 anos, quando ainda estava na faculdade, aprendi a manipular o mercúrio pesando-o em urna balança rudimentar e misturando-o manualmente em uma espécie de pilão (gral a pistilo), sem esse tipo de proteção.
Os fabricantes dessa limalha afirmam que, depois de realizada a mistura, o mercúrio sofre uma reação e torna-se parte de uma liga atóxica. Só que os aparelhos mais antigos dosavam por volúme tanto o mercúrio como a prata, e não por peso, ousando erros na proporção, resultando, muitas vezes, em excesso de mercúrio.
Pensando nisso, os novos arnalgamadores utilizam cápsulas onde tanto mercúrio, de um lado, quanto a prata, do outro, já vem pesados e na proporção correta. Assim, segundo os fabricantes, não haveria contraindicação para o amálgama. Porém, se o uso do amalgama é tão seguro, por que razão alguns países como a Suécia e a Alemanha o contraindicaram oficialmente, desde 1997, para menores de seis anos, gestantes e lactantes, bem como para pacientes com problemas renais? E um importante fabricante americano publicou em seu sito a mesma lista de contraindicações?
Em matéria na revista da Associação Paulista dos Cirurgiões-Dentistas, sobre amálgama, foi publicado: "Provou-se que o aumento dos níveis de mercúrio no sangue e na urina pode estar asso-ciado à presença dessas restaurações, embora nenhum trabalho tenha conseguido relacionar o desenvolvimento de doenças sistêmicas causadas com mercúrio em pacientes com as restaurações de amalgarna". Na dúvida, desde que voltei da Alemanha, resolvi substituir minhas próprias restaurações de amálgama, o que melhorou a estética e o meu paladar, já que sentia gosto metálico na boca.